Capo, il meticcio sorridente. Anpana e Canile di Calvatone danno al cane una seconda vita
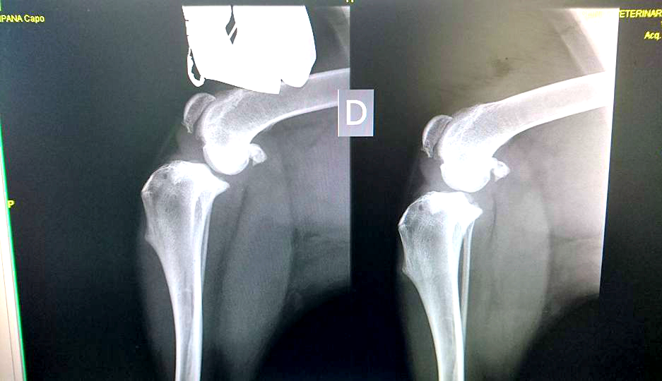
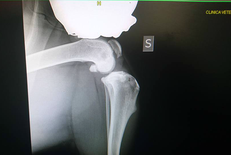
"Il 10 marzo Capo ha subito l'operazione a carico del crociato posteriore destro presso la Clinica Sant'Eusebio di Asola, e subirà un ulteriore intervento al crociato sinistro nei prossimi mesi. La prima operazione è andata a buon fine
CALVATONE – Una nuova vita per lui. La seconda, in attesa di una terza che sarà al termine del tunnel in cui Capo, meticcio arrivato a ‘La cuccia e il nido’ di Calvatone, è precipitato. Una storia, la sua, come tante. Quella di chi prende un cane e poi – di fronte alle difficoltà di una convivenza – ci rinuncia. “Capo – raccontano i volontari del canile di Calvatone – è cresciuto in famiglia, e sarebbe dovuto essere così per sempre, ma qualcosa è andato storto e poche settimane fa ha fatto il suo ingresso da noi, al Canile Rifugio la Cuccia e il Nido Anpana Onlus di Calvatone. Capo è stato rinunciato dalla famiglia per presunta aggressività nei confronti della figlia. Nessun educatore, nessuno si è rimboccato le maniche, per lui c’era solo un box ad attenderlo. Capo dopo i primi giorni di disorientamento, durante i quali si disperava e tremava tutto il tempo per la paura, si è rivelato il contrario di quello che gli ex padroni avevano riferito: è un bravissimo cane dagli occhi dolci e speranzosi, con la coda perennemente in movimento per ricevere una coccola, è buono e docile con tutti i volontari e gli operatori che fin da subito l’hanno curato e amato”. Le ‘disgrazie’ però non vengono mai sole. I volontari notano in capo una difficoltà di movimento e decidono di accertarsi delle reali condizioni del meticcio ‘sorridente’. “Una persistente zoppia alle zampe posteriori, per cui sono stati effettuati alcuni accertamenti. Speravamo non fosse qualcosa di grave ma purtroppo non è stato così. Le lastre hanno evidenziato la rottura completa del crociato della zampa posteriore destra, ed il lesionamento del crociato posteriore sinistro”. Un problema, benché piuttosto serio, risolvibile. Capo va sotto ai ferri grazie alla disponibilità di Anpana a farlo curare e a quella della Clinica Sant’Eusebio di Asola disposta a venire incontro al canile con le spese – ingenti – di quel tipo di operazione. “Il 10 marzo Capo ha subito l’operazione a carico del crociato posteriore destro presso la Clinica Sant’Eusebio di Asola, e subirà un ulteriore intervento al crociato sinistro nei prossimi mesi. La prima operazione (Osteotomia piatto tibiale con lama 22,5 mm, rotazione piatto tibiale, fissazione con placca TPLO 3,5 mm 6 fori, sutura cute e sottocute e bendaggio di Robert Jones, ndr) è andata a buon fine, ora Capo dovrà restare a riposo”. Operazione, lastre e controlli sono costati 900 euro. Tutti sostenuti da Anpana. “Non potevamo non intervenire – spiega Patrizia Storti di Anpana – e così abbiamo deciso di procedere. La clinica ci ha fatto un prezzo di favore, lo staff è stato molto disponibile e di questo li ringraziamo enormemente. A favore di Capo e delle sue cure si è deciso di creare una raccolta fondi. Come ben sapete le spese qua in canile sono davvero tante, le rinunce di proprietà e gli abbandoni continuano e i cani che arrivano hanno spesso bisogno di analisi e cure mediche costose”. Per Capo – il meticcio sorridente – si è aperta una raccolta. Diverse le strade che possono consentire un aiuto al meticcio: l’adozione a distanza, il versamento di una donazione sul c/c presso la Banca CARIPARMA di San Giovanni in Croce, IBAN: IT 25 N 06230 57130 000043318875 – Causale: Donazione pro Capo, una donazione PayPal cliccando sul pulsante “fai una donazione” sulla nostra pagina facebook (questo metodo è totalmente sicuro ed affidabile, nonché facile e veloce, accetta tutte le carte di credito, anche PayPal si può utilizzare anche dall’estero), l’iniziativa “Un Uovo per Fido” con cui si possono sostenere le cure di Capo attraverso le uova solidali al cioccolato al latte o fondente che si possono trovare presso l’Ufficio del Canile Rifugio tutti i giorni dalle 14 alle 18, weekend compreso. Capo avrà una seconda possibilità in questa sua seconda vita. In attesa di una terza, magari al caldo di una casa con una famiglia dal cuore grande, disposta a prendersene cura.
Nazzareno Condina


